Опубликовано 14 ноября 2024, 22:46
1 мин.

ИИ научился диагностировать болезни быстрее людей

С высокой точностью
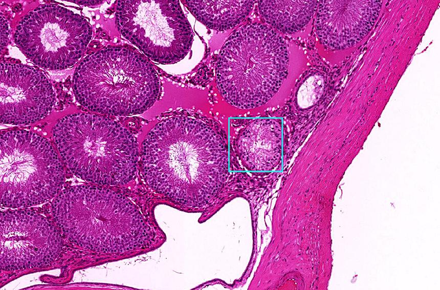
Ученые из Университета штата Вашингтон разработали модель искусственного интеллекта (ИИ), способную быстрее и точнее выявлять болезни на изображениях тканей животных и человека, чем люди. Открытие ускорит исследования заболеваний и улучшит диагностику, включая раннее обнаружение рака по биопсии за считанные минуты.
ИИ научился диагностировать болезни быстрее людей

© Ferra.ru

Модель, основанная на глубоких нейронных сетях, была обучена на изображениях из исследований лаборатории профессора Майкла Скиннера. Исследования касались молекулярных признаков заболеваний в тканях почек, яичников и предстательной железы у крыс и мышей.

Для создания модели учёные использовали изображения тканей из лабораторных исследований, проводившихся в лаборатории Майкла Скиннера. Эти исследования касались молекулярных признаков заболеваний в тканях почек, яичников, предстательной железы и других органов животных. Тесты показали, что новый ИИ не только точно и быстро выявляет патологии, но и находит те, которые могли быть пропущены даже опытными специалистами.

ИИ научился диагностировать болезни быстрее людей

© Eric Nilsson, Skinner Laboratory, Washington State University