Опубликовано 03 октября 2024, 22:45
1 мин.

ИИ повысил точность радиологии

Новая система улучшает диагностику внутренних органов
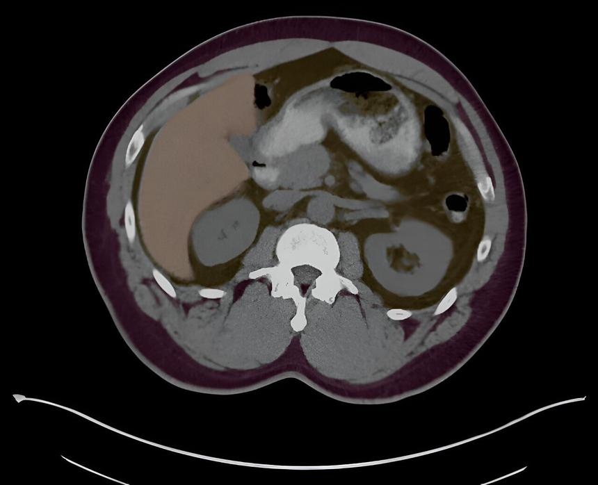
В медицине искусственный интеллект (ИИ) проявляет себя как мощный инструмент для улучшения диагностики. Система Penn AInSights, разработанная в Penn Medicine, была признана одним из лучших решений в области радиологии и значительно повышает точность визуализации внутренних органов.
ИИ повысил точность радиологии

© Ferra.ru

Система создает трехмерные модели, анализируя изображения, что позволяет врачам точно определять наличие аномалий, таких как жировая болезнь печени или признаки диабета. Это знание дает возможность медперсоналу принимать меры по лечению пациентов на ранних стадиях заболеваний, потенциально увеличивая продолжительность их жизни.

Искусственный интеллект в Penn AInSights был обучен на тысячах изображений и теперь автоматически генерирует аннотации и количественные характеристики, что экономит время и упрощает процесс диагностики. Система позволяет врачам проводить дополнительные проверки, выявляя незамеченные проблемы, и даже помогает в диагностике деменции, анализируя изменения в объеме мозга.

Планируется расширение применения AInSights для диагностики различных заболеваний, включая рак и сердечно-сосудистые болезни.

ИИ повысил точность радиологии

© Journal of Imaging Informatics in Medicine