Опубликовано 09 октября 2024, 07:30
1 мин.

Учёные создали в лаборатории ключевой признак болезни Паркинсона

Исследование показало важную роль иммунной реакции
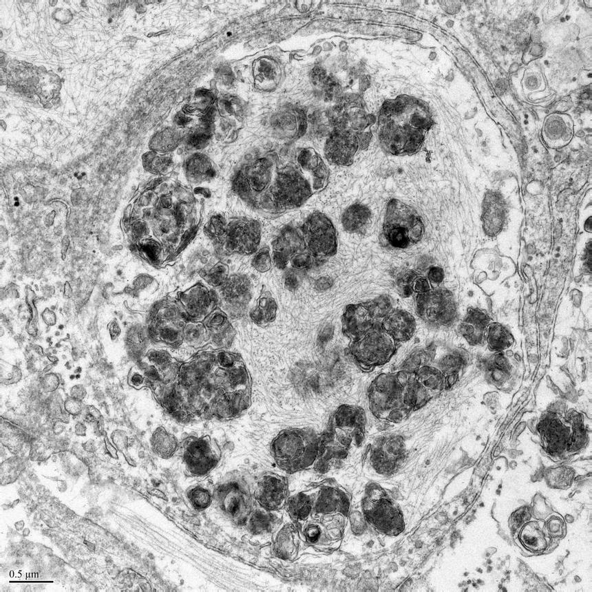
Ученые из Монреальского института неврологии воссоздали процесс образования телец Леви в нейронах человека, что является важным шагом к пониманию болезни Паркинсона. В ходе эксперимента использовались стволовые клетки для создания дофаминергические нейронов, наиболее подверженных риску при этом заболевании.
Учёные создали в лаборатории ключевой признак болезни Паркинсона

© Ferra.ru

Ключевой вывод исследования — образование телец Леви происходит только при сочетании двух факторов: повышения уровня белка альфа-синуклеина и стимуляции иммунной системы. Без этого иммунного ответа тельца не формируются, что указывает на важную роль воспалительных процессов в развитии болезни.

Это открытие также показывает, что тельца Леви не состоят исключительно из неправильно свернутых белков, как считалось ранее, а содержат мембраны и фрагменты других клеточных структур. Этот новый взгляд на природу телец Леви может помочь в разработке эффективных лекарств.

Результаты исследования подчеркивают, что воздействие на иммунную систему может играть ключевую роль в развитии болезни Паркинсона, даже если у человека нет генетической предрасположенности к этому.

Учёные создали в лаборатории ключевой признак болезни Паркинсона

© Armin Bayati from Peter McPherson Lab, The Neuro