Опубликовано 03 декабря 2025, 18:43
1 мин.

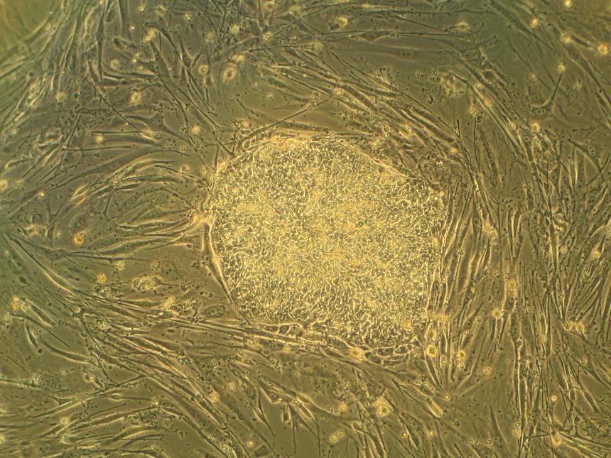
Учёные открыли потенциал стволовых клеток «превращаться» в клетки других органов

Эксперименты это подтвердили
Исследователи из Сеченовского университета раскрыли уникальный, как сообщает агентство РИА Новости, потенциал стволовых клеток, полученных из околоплодных оболочек после родов. Эти клетки обладают способностью стимулировать процессы регенерации и дифференцироваться в клетки сердца, печени, головного мозга и кровеносных сосудов.
Учёные открыли потенциал стволовых клеток «превращаться» в клетки других органов

Исследования показывают, что эти клетки более безопасны, чем другие типы стволовых клеток, и обладают антиоксидантными, противовоспалительными и регенерирующими свойствами.

Например, амниотические клетки — мембраны, окружающие эмбрион и содержащие околоплодные воды — способствовали восстановлению функций сердца и печени у модельных животных с сердечной и печёночной недостаточностью, а также облегчали симптомы артрита и диабета. Эти клетки также продемонстрировали перспективность в лечении нейродегенеративных заболеваний, в том числе болезни Паркинсона, благодаря способности вырабатывать дофамин.

В области акушерства и гинекологии амниотические клетки могут помочь в заживлении шрамов после кесарева сечения. Учёные постоянно исследуют их потенциал и в лечении рака, хотя результаты пока несколько противоречивы.

«Попадая в тот или иной орган, такие помощники создают для его клеток благоприятные условия. Происходит это за счет выработки цитокинов и экзосом - белков и микроскопических пузырьков, которые обеспечивают "общение" между клетками», — пояснили в Сеченовском университете.