Опубликовано 12 октября 2024, 09:45
1 мин.

Чтобы крутиться удобнее: из-за брейкданса у танцора на голове выросла шишка

Человеческая юла
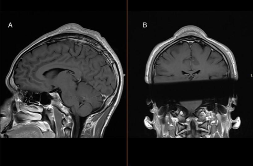
Недавнее исследование, опубликованное в BMJ Case Reports, описало интересный случай, пишет N+1: датчанин около 30 лет, практикующий брейкданс на протяжении 19 лет, развил болезненную шишку на голове после многолетних выступлений с элементом танца «хэдспин», при котором танцоры балансируют на голове и вращаются. Это состояние было вызвано разрастанием соединительной ткани на коже головы из-за постоянного давления при выполнении хедспина.
Чтобы крутиться удобнее: из-за брейкданса у танцора на голове выросла шишка

Во время клинического обследования пациент сообщил о болезненном выпадении волос и заметном увеличении шишки, которая становилась все более болезненной в течение последних пяти лет. Несмотря на дискомфорт и эстетические проблемы, шишка не мешала ему продолжать танцевать.

Чтобы крутиться удобнее: из-за брейкданса у танцора на голове выросла шишка

© Christian Baastrup Søndergaard et al. / BMJ Case Reports, 2024

С помощью визуализации была выявлена значительная опухоль под кожей, которую удалили хирургическим путем. Гистологический анализ показал неспецифические изменения, характеризующиеся обширным фиброзом без признаков злокачественности. Примечательно, что уже через месяц после операции пациент не испытывал боли при выступлении и был доволен эстетическим результатом.

Чтобы крутиться удобнее: из-за брейкданса у танцора на голове выросла шишка

© Christian Baastrup Søndergaard et al. / BMJ Case Reports, 2024

Материалы новостного характера нельзя приравнивать к назначению врача. Перед принятием решения посоветуйтесь со специалистом.